目次
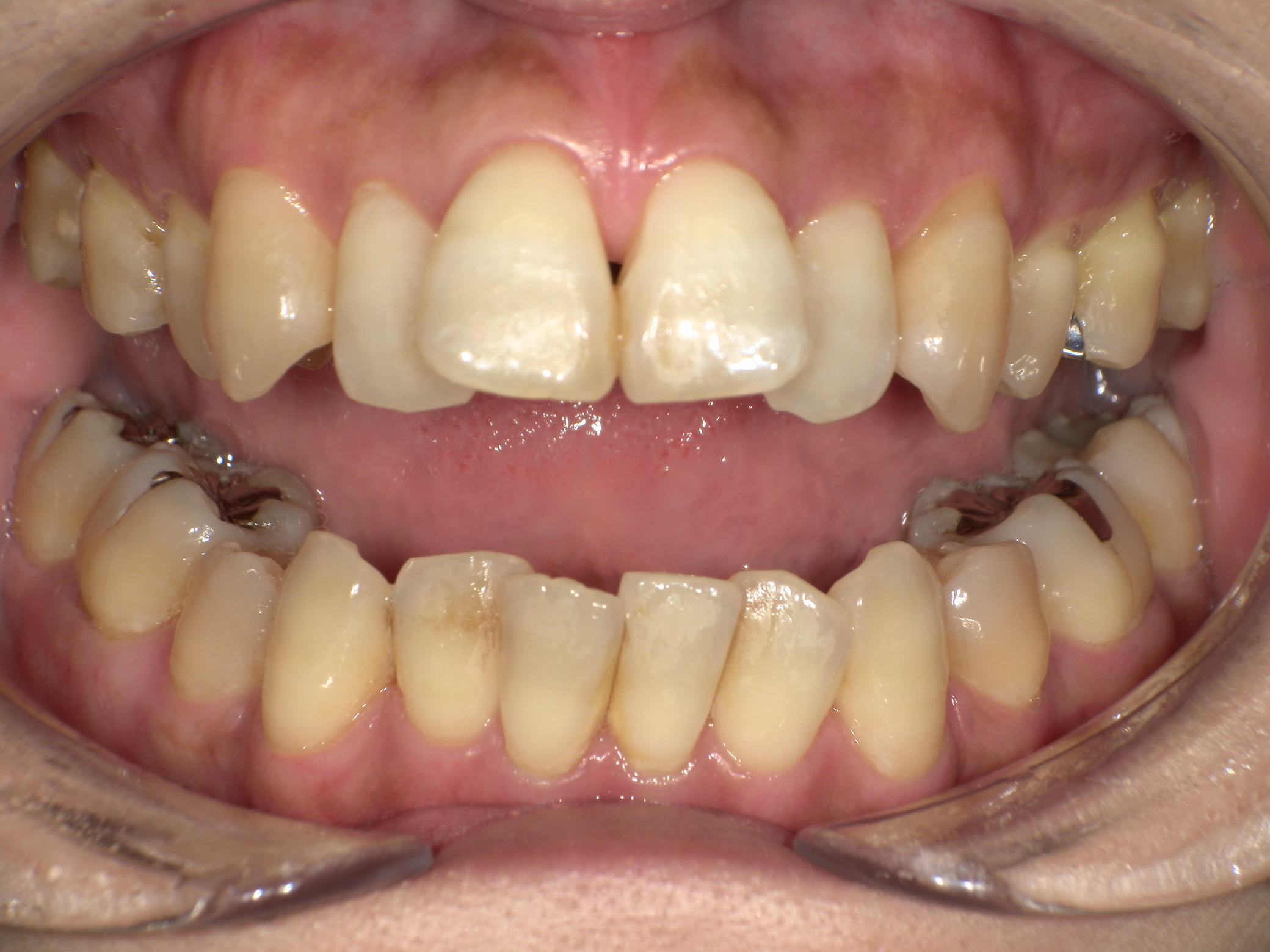
症例写真(ビフォーアフター)
症例概要
| 診断名 | 叢生・開咬 |
|---|---|
| プラン | 全顎矯正(フル) |
| 治療期間 | 9ヶ月 |
| 費用 | 64.5万円 |
特記事項
追加回数に関して
なし
抜歯に関して
抜歯なし
IPRに関して
※IPRとは「歯を削り、隙間を作る処置」のことを指します。
実施
マウスピース矯正による主なリスク及び注意点
- リスク:虫歯、歯周病、歯肉退縮、歯根吸収、ブラックトライアングルなど。
- マウスピース装着時の圧痛の可能性・歯を動かす過程で一時的にかみ合わせがずれる可能性あり。
- 1日あたり20~22時間以上のマウスピースの装着が必須。
- 矯正完了後後戻り防止用リテーナーの装着が必須。
患者様の声
- 矯正治療が終了したご感想・当院で治療して良かった点
- 口元を気にせず話せるようになった。マウスピースでここまできれいになるとは思っていなかったのでびっくりした。
- 矯正治療をして良かった点
- コンプレックス解消、歯磨きがしやすくなった。
- 矯正治療中に大変だったこと
- 外出先での食事。
- スタッフの対応について
- とても丁寧に対応していただきました。
- これから矯正される患者様へのアドバイス
- 年齢に関係なく気になったら始めるべき。
