歯科矯正専門医院
表参道から徒歩3分
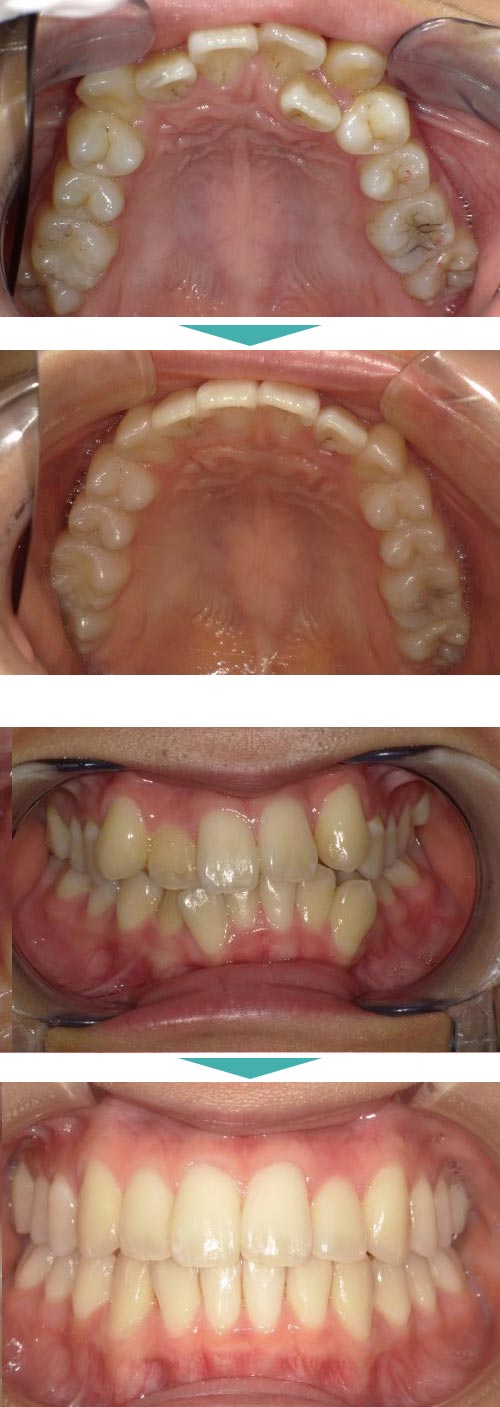
自信を持てる笑顔を多くの患者様に提供し、維持することが私たちの
目標であり、つとめです。
痛くなった場所を治す「治療」から痛くならないようにする「予防」へ、
そしてなりたい自分を目指す「美容」へと歯科医院に対するニーズが
大きく変化している昨今、マウスピース矯正はその最先端を行く医療
分野であることは間違いありません。
マウスピース矯正をもっと身近に。歯並びがどんどん綺麗になってい
く喜びをより多くの患者様としたい。そしてマウスピース矯正において
最も信頼されるクリニックになる。それがルーチェマウスピース矯正
歯科のビジョンです。
当院では、担当医がインビザライン社との
緊密なやり取りを通じて、患者様の口腔状態に
最適なマウスピースの設計を行います。
完成した設計案は、専門のテクニカルドクターによって
詳細にチェックされ、さらに、設計の最終チェックは院長が行い、
長年の経験と専門知識を活かし設計を再確認します。
通常の歯科医院では、設計のために担当医が
インビザライン社とのやり取りを行い、
1ステップでマウスピースの設計が完了します。
ルーチェでは厳格なチェックプロセスを導入しています。
このような3ステップの厳格なプロセスを踏むことで、
通常の歯科医院では得られない高い品質と治療効果を実現しています。
◆博士・専門担当医・併任
・歯科医師免許証取得 ・ストローマン、ブローネマルク、
アストラなど各種インプラント埋入資格 取得
・産業歯科医師認定取得
・研修指導医 取得
・Invisalign docter 認定
・博士(歯学)取得
◆職歴
・医療法人社団全至善會理事長・総院長
・医療法人社団成優会最高顧問
専門性と経験豊富な歯科医師たちからの
お墨付のご紹介です
多くの症例を経験した医師から、
その成果をもとに
当クリニックの治療法を推薦していただいております。
森下先生は、卓越した技術と確かな知識を持ち、矯正の分野だけで
なく他の分野でも優れた能力を発揮しています。その知識を活かし、
噛み合わせと審美を考慮に入れた治療を提供し
患者とドクターの理想的なゴールに向けて積極的に進んでいます。
患者にとって最高水準の治療を提供する姿勢は、大変価値あるものであり、
森下先生の専門知識と経験に頼ることは間違いありません。
森下先生を推薦することで、
患者の健康と幸福に寄与することができると確信しております。
森下医師は、技術力と経験豊富な歯科医師として、顎関節症治療の
分野でも貢献しています。彼の豊富な知識と経験は、私たち専門家に
も刺激を与えてくれています。
私自身も彼の情熱に学び、顎関節症治療に役立てています。森下医
師の存在は、歯科医療にとって大きな刺激となり、彼の活躍に期待し
ています。
森下先生は、信頼性の高いインビザライン矯正の日本の第一人者
です。私自身も治療を受けたことがあり、矯正以外の分野でも
素晴らしい腕前を持っています。
各分野から得た知識を活かし、噛み合わせと審美を兼ね備えた治
療を提供しており、患者とドクターの理想的なゴールに向けて進
んでいます。ルーチェマウスピース矯正歯科を提携院として推薦
いたします。
私は地域の皆様の歯の健康をサポートする地域密着型の
歯科医院で活動しています。
森下院長は、高度かつ専門的な矯正治療を提供しており、最新の
技術を駆使し、歯の美しさと歯並びの改善に取り組んでいます。
ぜひ、ルーチェマ矯正歯科で理想の笑顔を手に入れてください。
自信を持てる笑顔を
多くの患者様に提供し
維持することが
私たちの目標であり
つとめです
私たちは、高い技術力とリーズナブルな価格、
そして豊富な実績に自信を持っています。
他のクリニックと比較して
いただいても構いません。
自信をもってお勧めする
矯正治療をご提供いたします。
歯型スキャン
レントゲン
AIシミュレーション





