目次
症例写真(ビフォーアフター)
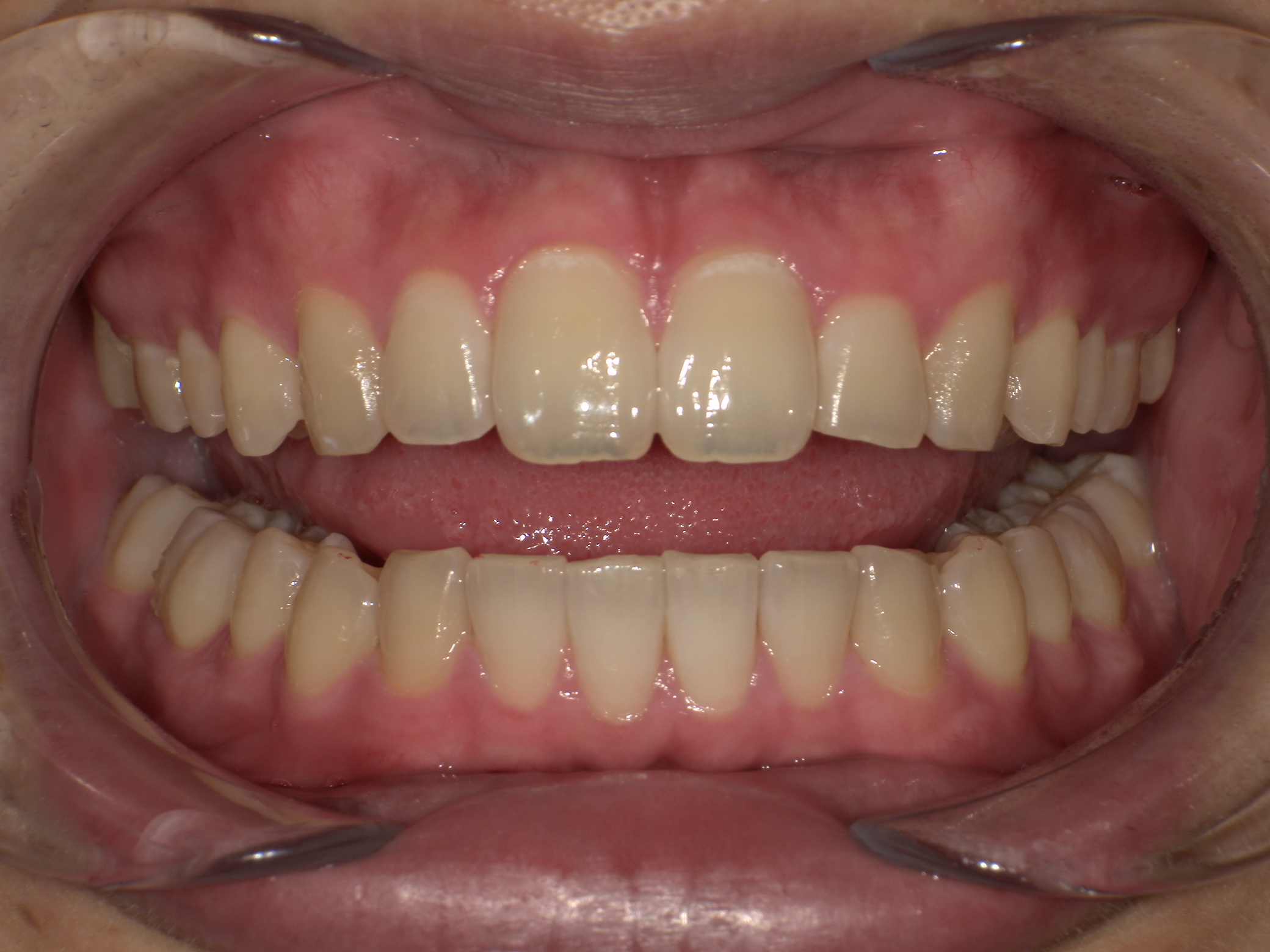
症例概要
| 診断名 | 上顎前突・正中離開 |
|---|---|
| プラン | 全顎矯正(フル) |
| 治療期間 | 7ヶ月 |
| 費用 | 66万円 ※価格は治療当時のものです。現在の料金とは異なる場合があります。 |
特記事項
追加回数に関して
なし
抜歯に関して
抜歯なし
IPRに関して
※IPRとは「歯を削り、隙間を作る処置」のことを指します。
実施
マウスピース矯正による主なリスク及び注意点
- リスク:虫歯、歯周病、歯肉退縮、歯根吸収、ブラックトライアングルなど。
- マウスピース装着時の圧痛の可能性・歯を動かす過程で一時的にかみ合わせがずれる可能性あり。
- 1日あたり20~22時間以上のマウスピースの装着が必須。
- 矯正完了後後戻り防止用リテーナーの装着が必須。
患者様の声
- 矯正治療が終了したご感想・当院で治療して良かった点
- 思ったより短期間で矯正を終えられたこと。要望通り歯並びがよくなった。
- 矯正治療をして良かった点
- 歯並びがよくなり気にならなくなった。
- 矯正治療中に大変だったこと
- 矯正当初は痛みが強く大変だった。
- スタッフの対応について
- 毎回丁寧に対応していただけた。
- これから矯正される患者様へのアドバイス
- 矯正の仕上がりは、自分自身の管理次第にもなるので頑張ってください。
