前歯のガタガタ・デコボコ– category –
前歯のガタガタ・デコボコ(叢生)を改善した症例を紹介します。前歯の重なりやねじれ、歯並びの凸凹を整えて見た目をきれいにするだけでなく、噛み合わせや清掃性にも配慮した矯正治療例を掲載しています。
新着記事
-
前歯のガタガタ・デコボコ
下の歯が出ている・嚙み合わせが悪い(女性/30代)
下の歯が出ている・嚙み合わせが悪い30代女性の症例紹介です。 -
前歯のガタガタ・デコボコ
歯並びがデコボコしている(女性/40代)【4】
歯並びがデコボコしている40代女性の症例紹介です。 -
前歯のガタガタ・デコボコ
歯並びがデコボコしている(女性/50代) 【2】
歯並びがデコボコしている50代女性の症例紹介です。 -
前歯のガタガタ・デコボコ
前歯のがたつき(女性/50代)
前歯のがたつき50代女性の症例紹介です。 -
前歯のガタガタ・デコボコ
前歯のがたつきが気になる・八重歯(女性/40代)
前歯のがたつきが気になる・八重歯40代女性の症例紹介です。 -
前歯のガタガタ・デコボコ
前歯のがたつきが気になる(女性/40代)
前歯のがたつきが気になる40代女性の症例紹介です。 -
前歯のガタガタ・デコボコ
前歯のがたつきが気になる(女性/20代)【2】
前歯のがたつきが気になる20代女性の症例紹介です。 -
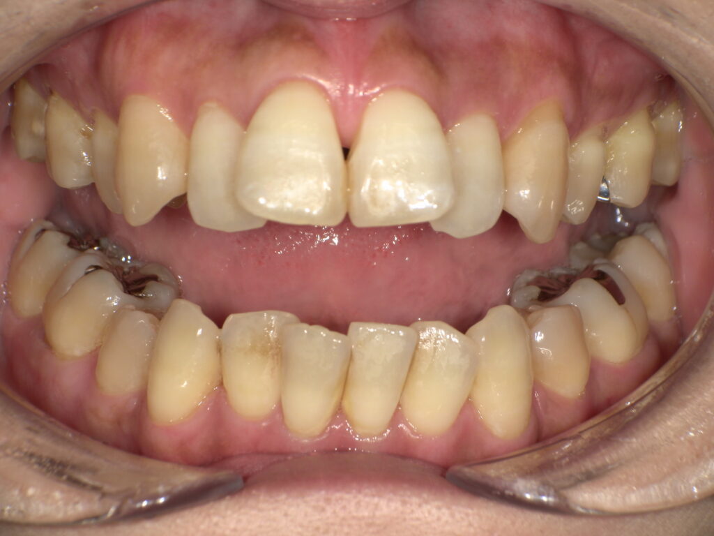
前歯のガタガタ・デコボコ
歯並びがデコボコしている(男性/20代)【5】
歯並びがデコボコしている20代男性の症例紹介です。 -
前歯のガタガタ・デコボコ
前歯のがたつきが気になる(女性/30代)【2】
前歯のがたつきが気になる30代女性の症例紹介です。 -
前歯のガタガタ・デコボコ
前歯の中心のずれが気になる(女性/20代)
前歯の中心のずれが気になる20代女性の症例紹介です。 -
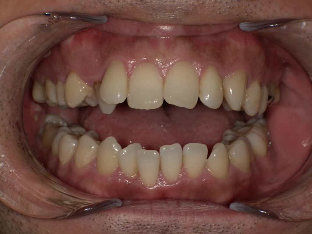
前歯のガタガタ・デコボコ
歯並びがデコボコしている(男性/20代)【4】
歯並びがデコボコしている20代男性の症例紹介です。 -
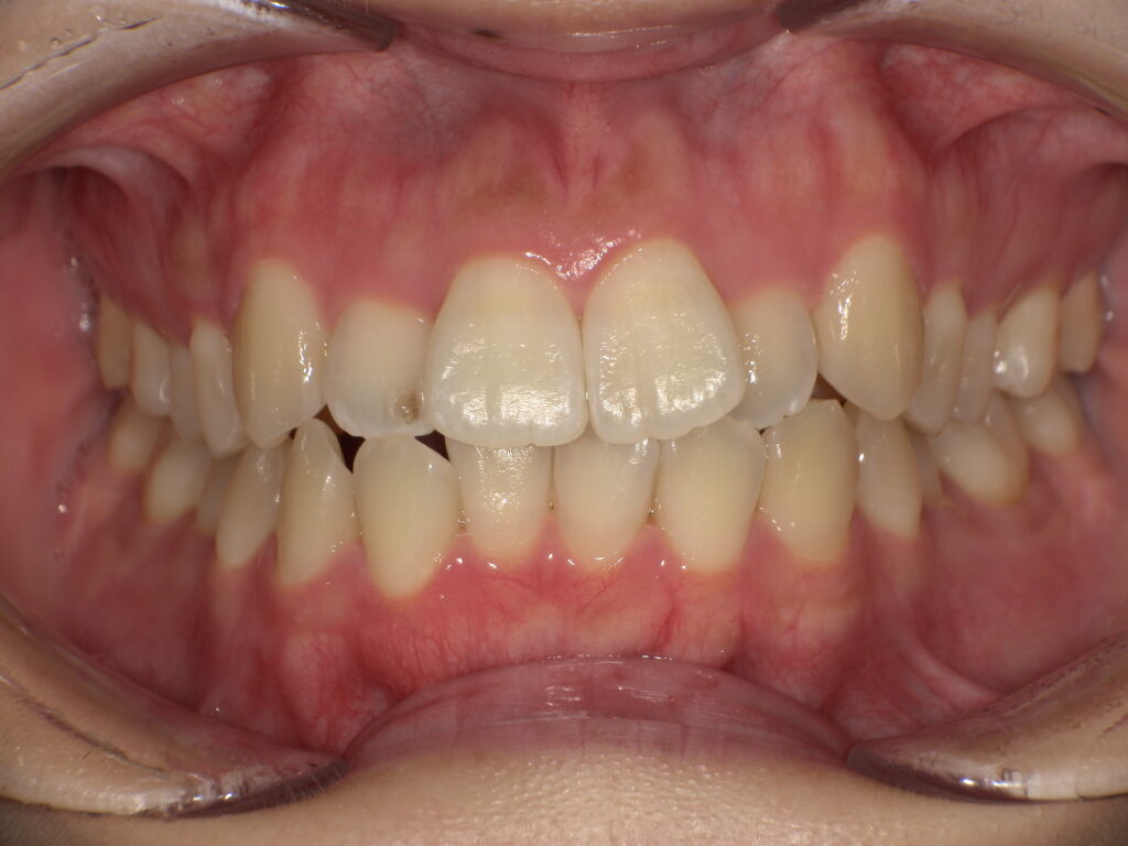
前歯のガタガタ・デコボコ
歯並びがデコボコしている(男性/30代)【2】
歯並びがデコボコしている30代男性の症例紹介です。
