すきっ歯– category –
歯と歯の間にすき間がある歯並びを改善した症例を紹介します。見た目の改善はもちろん、発音や噛み合わせも考慮した治療結果を確認できます。
新着記事
-
すきっ歯
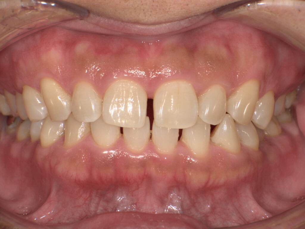
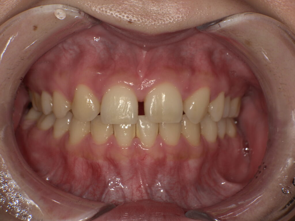
すきっ歯が気になる(男性/40代)
すきっ歯が気になる40代男性の症例紹介です。 -
すきっ歯
すきっ歯・上の歯が出ている(女性/30代)
すきっ歯・上の歯が出ている30代女性の症例紹介です。 -
すきっ歯
すきっ歯(男性/30代)
すきっ歯30代男性の症例紹介です。 -
すきっ歯
すきっ歯が気になる(男性/20代)【4】
すきっ歯が気になる20代男性の症例紹介です。 -
すきっ歯
すきっ歯が気になる(女性/20代)
すきっ歯が気になる20代女性の症例紹介です。 -
すきっ歯
すきっ歯・上の歯が出ている(男性/20代)
すきっ歯・上の歯が出ている20代男性の症例紹介です。 -
すきっ歯
すきっ歯が気になる(女性/20代)【3】
すきっ歯が気になる20代女性の症例紹介です。 -
すきっ歯
すきっ歯が気になる(男性/30代)
すきっ歯が気になる30代男性の症例紹介です。 -
すきっ歯
すきっ歯・下の歯が出ている(男性/40代)
すきっ歯・下の歯が出ている40代男性の症例紹介です。 -
すきっ歯
すきっ歯が気になる(女性/40代)
すきっ歯が気になる40代女性の症例紹介です。 -
すきっ歯
すきっ歯が気になる(男性/20代)【3】
すきっ歯が気になる20代男性の症例紹介です。 -
すきっ歯
すきっ歯が気になる(女性/20代)【2】
すきっ歯が気になる20代女性の症例紹介です。
12
