MENU
はじめての方へ
当院の特徴
矯正を始める前の大切なポイント
無料カウンセリングについて
歯科医師からの推薦状
マウスピース設計プロセス
医院紹介
インビザライン認定医在籍
医師紹介
施設紹介
アクセス
矯正メニュー・費用
マウスピース矯正について
料金表
紹介キャンペーン
お悩み別症例
症例紹介
歯列矯正の症例を目的別・お悩み別に紹介しています。前歯のガタつきや出っ歯、噛み合わせの改善、再矯正まで、実際の治療例を通して仕上がりや治療方針を確認できます。
出っ歯・口ゴボ
前歯の突出や口元の出っ張りが気になる方の症例を紹介します。横顔の印象や口元のバランスに配慮しながら改善した歯列矯正の治療例をまとめています。
すきっ歯
歯と歯の間にすき間がある歯並びを改善した症例を紹介します。見た目の改善はもちろん、発音や噛み合わせも考慮した治療結果を確認できます。
噛み合わせが深い/浅い
噛み合わせが深い・浅いといった咬合の問題を改善した症例を紹介します。前歯や奥歯の接触バランスを整え、機能面にも配慮した矯正治療例を掲載しています。
前歯だけ治した症例
前歯のみを部分的に矯正した症例を紹介します。全体矯正との違いや適応ケースを踏まえ、短期間・部分治療で改善した実際の治療例を確認できます。
後戻り・再矯正
矯正後に歯並びが後戻りしたケースや再矯正を行った症例を紹介します。原因や対策を踏まえた治療例を通して、再治療の考え方を分かりやすくまとめています。
前歯のガタガタ・デコボコ
前歯のガタガタ・デコボコ(叢生)を改善した症例を紹介します。前歯の重なりやねじれ、歯並びの凸凹を整えて見た目をきれいにするだけでなく、噛み合わせや清掃性にも配慮した矯正治療例を掲載しています。
その他の治療
ホワイトニング
歯ぎしりボトックス
クリーニング
よくあるご質問
Dr.コラム
インビザライン
マウスピース矯正
ホワイトニング
採用情報
東京都港区表参道駅から徒歩3分。マウスピース矯正・インビザライン治療専門歯科医院です。
はじめての方へ
当院の特徴
矯正を始める前の大切なポイント
無料カウンセリングについて
歯科医師からの推薦状
マウスピース設計プロセス
医院紹介
インビザライン認定医在籍
医師紹介
施設紹介
アクセス
矯正メニュー・費用
マウスピース矯正について
料金表
紹介キャンペーン
お悩み別症例
症例紹介
歯列矯正の症例を目的別・お悩み別に紹介しています。前歯のガタつきや出っ歯、噛み合わせの改善、再矯正まで、実際の治療例を通して仕上がりや治療方針を確認できます。
出っ歯・口ゴボ
前歯の突出や口元の出っ張りが気になる方の症例を紹介します。横顔の印象や口元のバランスに配慮しながら改善した歯列矯正の治療例をまとめています。
すきっ歯
歯と歯の間にすき間がある歯並びを改善した症例を紹介します。見た目の改善はもちろん、発音や噛み合わせも考慮した治療結果を確認できます。
噛み合わせが深い/浅い
噛み合わせが深い・浅いといった咬合の問題を改善した症例を紹介します。前歯や奥歯の接触バランスを整え、機能面にも配慮した矯正治療例を掲載しています。
前歯だけ治した症例
前歯のみを部分的に矯正した症例を紹介します。全体矯正との違いや適応ケースを踏まえ、短期間・部分治療で改善した実際の治療例を確認できます。
後戻り・再矯正
矯正後に歯並びが後戻りしたケースや再矯正を行った症例を紹介します。原因や対策を踏まえた治療例を通して、再治療の考え方を分かりやすくまとめています。
前歯のガタガタ・デコボコ
前歯のガタガタ・デコボコ(叢生)を改善した症例を紹介します。前歯の重なりやねじれ、歯並びの凸凹を整えて見た目をきれいにするだけでなく、噛み合わせや清掃性にも配慮した矯正治療例を掲載しています。
その他の治療
ホワイトニング
歯ぎしりボトックス
クリーニング
よくあるご質問
Dr.コラム
インビザライン
マウスピース矯正
ホワイトニング
採用情報
はじめての方へ
医院紹介
矯正メニュー・費用
症例紹介
その他の治療
よくあるご質問
Dr.コラム
採用情報
はじめての方へ
当院の特徴
矯正を始める前の大切なポイント
無料カウンセリングについて
歯科医師からの推薦状
マウスピース設計プロセス
医院紹介
インビザライン認定医在籍
医師紹介
施設紹介
アクセス
矯正メニュー・費用
マウスピース矯正について
料金表
紹介キャンペーン
お悩み別症例
症例紹介
歯列矯正の症例を目的別・お悩み別に紹介しています。前歯のガタつきや出っ歯、噛み合わせの改善、再矯正まで、実際の治療例を通して仕上がりや治療方針を確認できます。
出っ歯・口ゴボ
前歯の突出や口元の出っ張りが気になる方の症例を紹介します。横顔の印象や口元のバランスに配慮しながら改善した歯列矯正の治療例をまとめています。
すきっ歯
歯と歯の間にすき間がある歯並びを改善した症例を紹介します。見た目の改善はもちろん、発音や噛み合わせも考慮した治療結果を確認できます。
噛み合わせが深い/浅い
噛み合わせが深い・浅いといった咬合の問題を改善した症例を紹介します。前歯や奥歯の接触バランスを整え、機能面にも配慮した矯正治療例を掲載しています。
前歯だけ治した症例
前歯のみを部分的に矯正した症例を紹介します。全体矯正との違いや適応ケースを踏まえ、短期間・部分治療で改善した実際の治療例を確認できます。
後戻り・再矯正
矯正後に歯並びが後戻りしたケースや再矯正を行った症例を紹介します。原因や対策を踏まえた治療例を通して、再治療の考え方を分かりやすくまとめています。
前歯のガタガタ・デコボコ
前歯のガタガタ・デコボコ(叢生)を改善した症例を紹介します。前歯の重なりやねじれ、歯並びの凸凹を整えて見た目をきれいにするだけでなく、噛み合わせや清掃性にも配慮した矯正治療例を掲載しています。
その他の治療
ホワイトニング
歯ぎしりボトックス
クリーニング
よくあるご質問
Dr.コラム
インビザライン
マウスピース矯正
ホワイトニング
採用情報
ホーム
症例紹介
前歯だけ治した症例
前歯だけ治した症例
– category –
症例紹介
前歯だけ治した症例
前歯のみを部分的に矯正した症例を紹介します。全体矯正との違いや適応ケースを踏まえ、短期間・部分治療で改善した実際の治療例を確認できます。
新着記事
前歯だけ治した症例
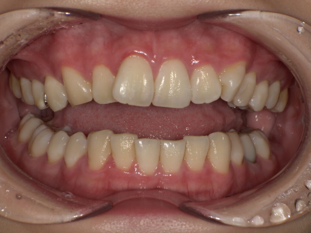
下の前歯のがたつきが気になる(女性/30代)
下の前歯のがたつきが気になる30代女性の症例紹介です。
2026年5月29日
前歯だけ治した症例
前歯のがたつきが気になる(女性/30代)【3】
前歯のがたつきが気になる30代女性の症例紹介です。
2026年5月26日
前歯だけ治した症例
前歯のガタガタ(女性/40代)
前歯のガタガタ40代女性の症例紹介です。
2026年5月22日
前歯だけ治した症例
下の歯が出ているのが気になる(女性/20代)
下の歯が出ているのが気になる20代女性の症例紹介です。
2026年3月28日
前歯だけ治した症例
前歯のガタガタが気になる(女性/20代)
前歯のガタガタが気になる20代女性の症例紹介です。
2026年2月24日
1
閉じる