出っ歯・口ゴボ– category –
前歯の突出や口元の出っ張りが気になる方の症例を紹介します。横顔の印象や口元のバランスに配慮しながら改善した歯列矯正の治療例をまとめています。
新着記事
-
出っ歯・口ゴボ
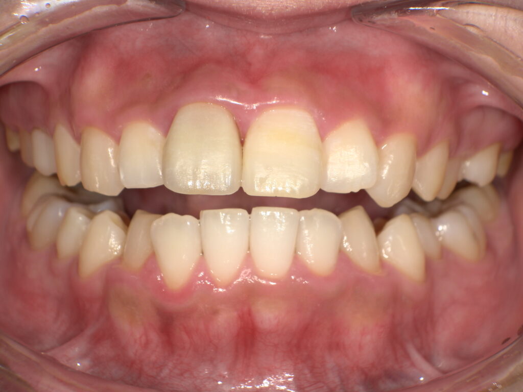
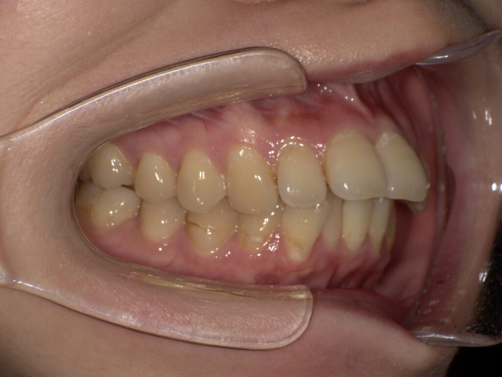
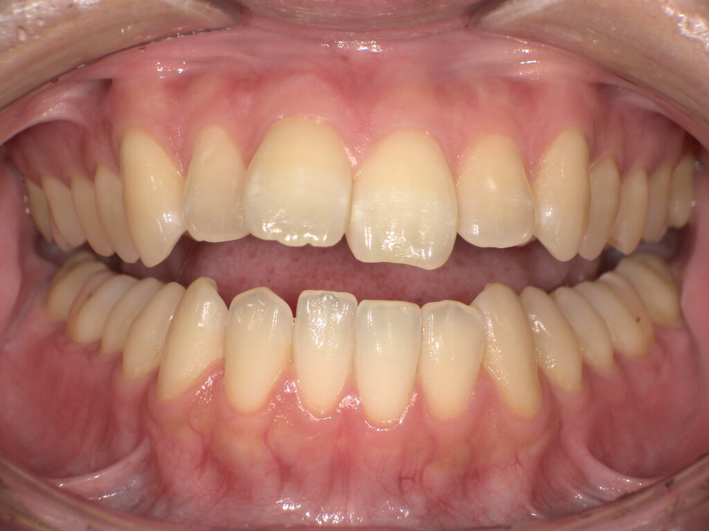
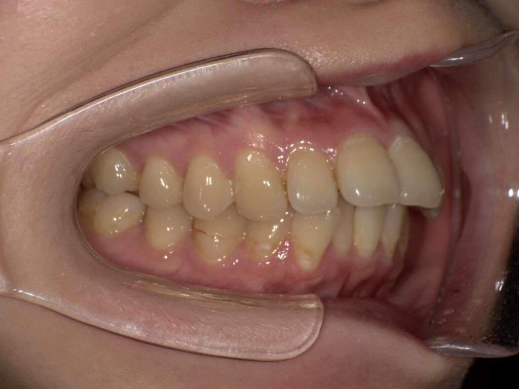
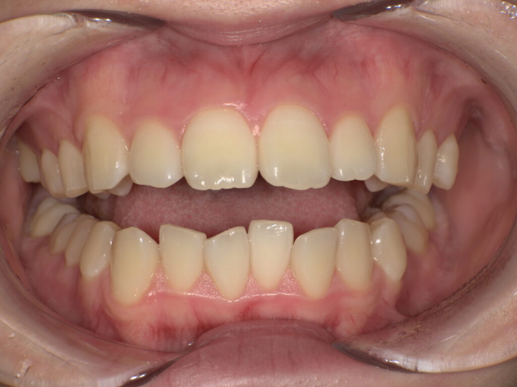
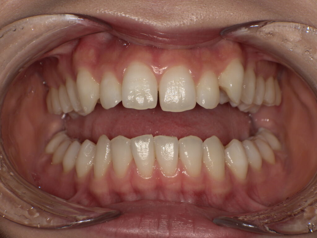
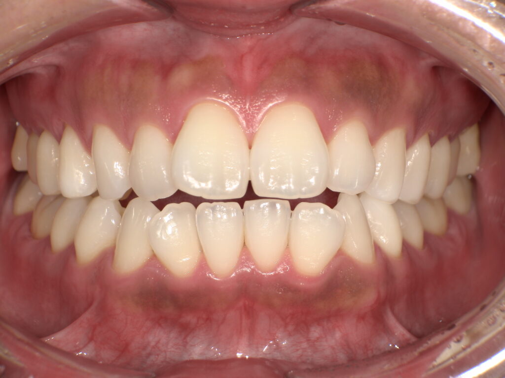
上の歯が出ている(女性/20代)【4】
上の歯が出ている20代女性の症例紹介です。 -
出っ歯・口ゴボ
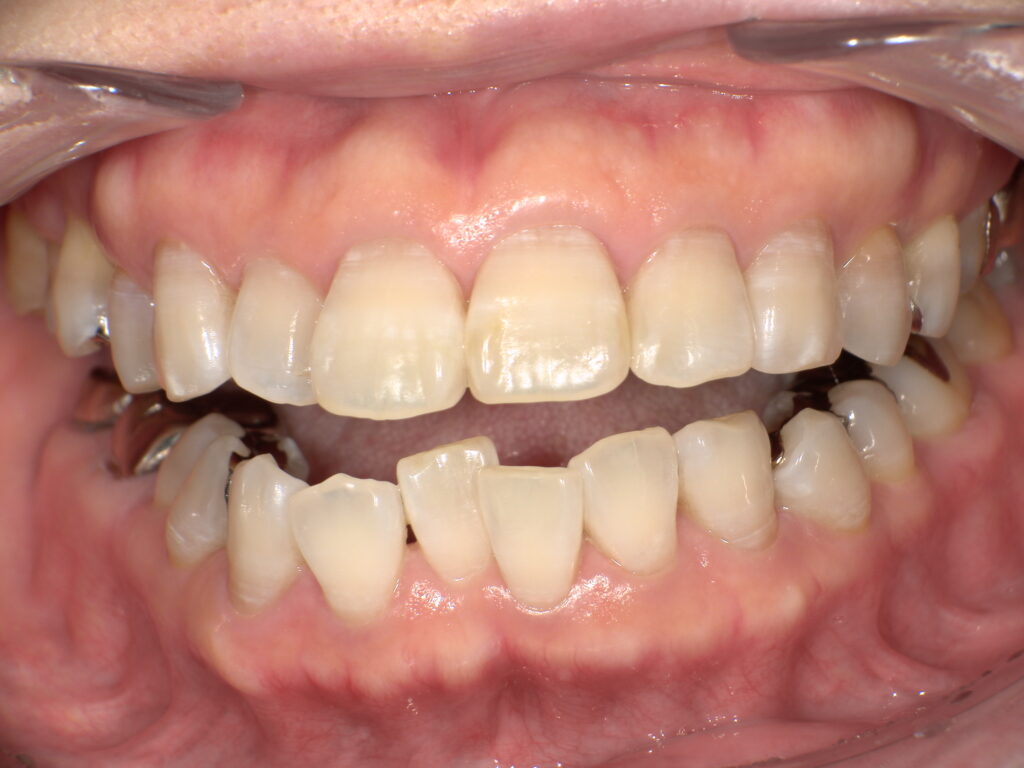
上の歯が出ている(女性/30代)
上の歯が出ている30代女性の症例紹介です。 -
出っ歯・口ゴボ
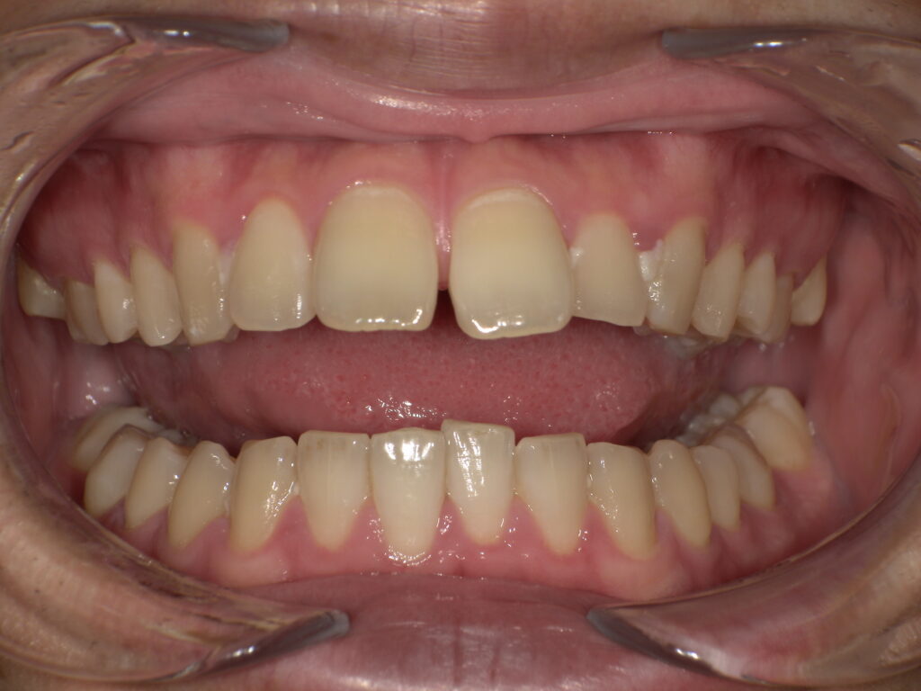
口元を下げたい(男性/20代)
口元を下げたい20代男性の症例紹介です。 -
出っ歯・口ゴボ
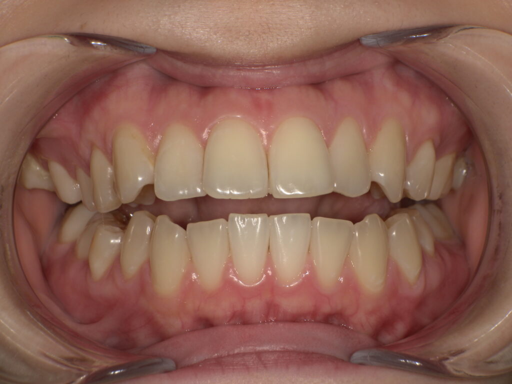
上の歯が出ている(男性/30代)
上の歯が出ている30代男性の症例紹介です。 -
出っ歯・口ゴボ
上の歯が出ている(女性/40代)
上の歯が出ている40代女性の症例紹介です。 -
出っ歯・口ゴボ
上の歯が出ている(女性/20代)【3】
上の歯が出ている20代女性の症例紹介です。 -
出っ歯・口ゴボ
上の歯が出ている(女性/20代)【2】
上の歯が出ている20代女性の症例紹介です。 -
出っ歯・口ゴボ
歯並びがデコボコしている・上の歯が出ている(女性/20代)
歯並びがデコボコしている・上の歯が出ている20代女性の症例紹介です。 -
出っ歯・口ゴボ
歯並びがデコボコしている・口元が出ている・上下の歯の隙間(女性/30代)
歯並びがデコボコしている・口元が出ている・上下の歯の隙間30代女性の症例紹介です。 -
出っ歯・口ゴボ
上の歯が出ている(女性/20代)
上の歯が出ている20代女性の症例紹介です。 -
出っ歯・口ゴボ
上の歯が出ている(女性/50代)
上の歯が出ている50代女性の症例紹介です。 -
出っ歯・口ゴボ
すきっ歯が気になる・口元が出ているのが気になる・嚙み合わせが深い(女性/20代)
すきっ歯が気になる・口元が出ているのが気になる・嚙み合わせが深い20代女性の症例紹介です。
12
