お悩みに応じた症例を紹介します
症例をクリックすると、解説と症例を確認いただけます
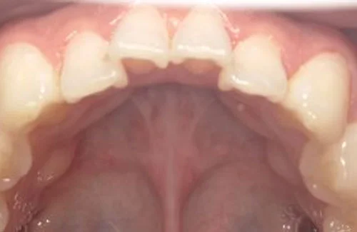
歯並びがデコボコ:叢生(そうせい)

歯の並びが不均一で歯が重なって生えているためにデコボコとした歯並びになっている状態を「叢生(そうせい)」と言います。別名「乱食い歯」とも呼ばれます。犬歯が外に出ている「八重歯」も「叢生」の一種でよく見られる状態です。この歯がデコボコに生えてしまう「叢生」は歯科矯正を希望される方で最も多くご相談される状況です。
歯並びがデコボコな叢生(そうせい)はマウスピース矯正でしっかり矯正できます。
叢生(そうせい)のデメリット
- うまく噛めない
- 見た目が良くない
- 歯ブラシが難しくむし歯や歯周病のリスクが高くなります
出っ歯・前歯が出ている:
上顎前突(じょうがくぜんとつ)

「前歯が出ている」状態は出っ歯とも言われ、上の歯が下の歯より前にでてしまっている咬み合わせの症状のことです。咬み合わせや舌癖、幼少期のおしゃぶりの使用、顎の骨の劣形成など様々な原因があります。出っ歯はマウスピース矯正でしっかり矯正できます。
出っ歯のデメリット
- うまく噛めない
- 見た目が良くない
- 転倒時に上の歯が傷ついり折れたりしやすい
上下の歯が噛み合わない:開咬(かいこう)

歯を閉じたときでも上下の前歯がつかずに隙間が空いてしまう状態を「開咬(かいこう)」と言います(開咬合ともいいますが、開咬という表現の方が多いです)。また「オープンバイト」とも呼ばれています。
麺類など前歯で噛み切る食べ物が食べにくく、舌で食べ物を押さえて噛んでいる事が多く、食べ物を細かく噛み砕けていないため、胃腸への負担も大きくなると言われています。開咬は奥歯のみに咬合圧がかかりやすく、将来的に奥歯が破折してしまうなど将来的なリスクも大きい噛み合わせです。また、空気の抜け道が多いため発音にも影響があります。
開咬(かいこう)もマウスピース矯正でしっかり治療できるため早めの矯正をお勧めいたします。
開咬(かいこう)のデメリット
- 食べ物をうまく噛めないので食事が大変
- 胃腸へ負担がかかる
- 見た目が悪い
開咬(かいこう)の治療症例
すきっ歯:正中離開(せいちゅうりかい)

歯と歯の間に隙間が空いている状態のことを「正中離開(せいちゅうりかい)」と言います。
一般的には「すきっ歯」とも呼ばれています。顎の大きさに対して歯が小さかったり、歯の数が足りていない事が原因となります。
歯の間に隙間があるので発音しにくかったり食べ物のカスが詰まりやすいく、見た目も目立ちやすいです。
すきっ歯(正中離開(せいちゅうりかい)もマウスピース矯正でしっかり治療できるため早めの矯正をお勧めいたします。
すきっ歯のデメリット
- 音が漏れるので言葉が発音しにくい
- 歯に食べ物のカスが詰まりやすく虫歯になりやすい
- 見た目が良くない
上の歯が下の歯を覆う:
過蓋咬合(かがいこうごう)

上の歯が下の歯を大きく覆ってしまうほど上下の噛み合わせが深い状態を「過蓋咬合(かがいこうごう)」と言います(別名ディープバイトと呼ばれます)。上下の顎のバランスが悪い等の原因があります。
過蓋咬合(かがいこうごう)もマウスピース矯正でしっかり治療できるため早めの矯正をお勧めいたします。
過蓋咬合のデメリット
- 前歯を使って食べる食べ物が噛みにくい
- 奥歯の負担が強く奥歯が擦り減る
- 顎関節症を発症しやすい
- 見た目が良くない
症例一覧
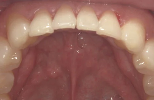
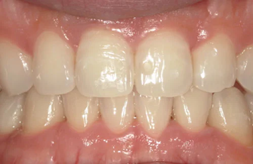
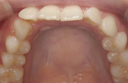
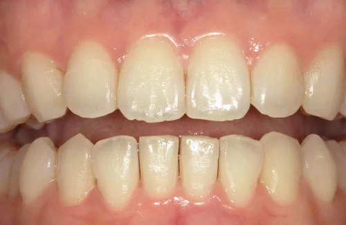
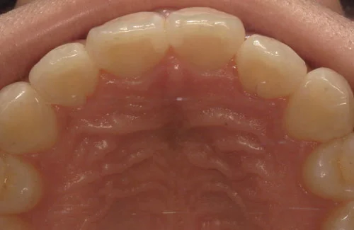
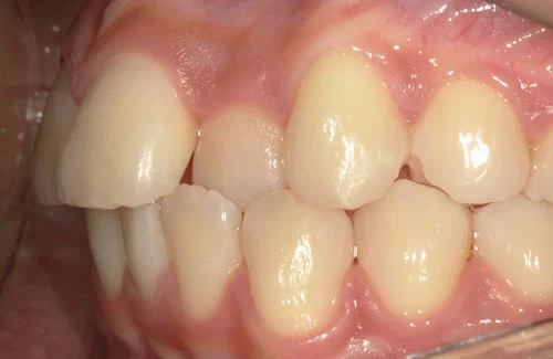
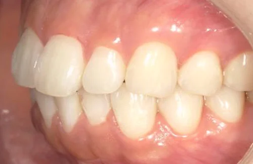
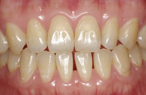
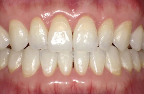
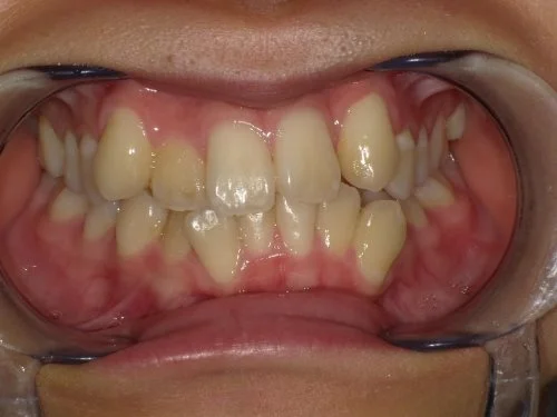
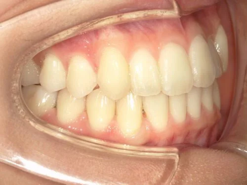
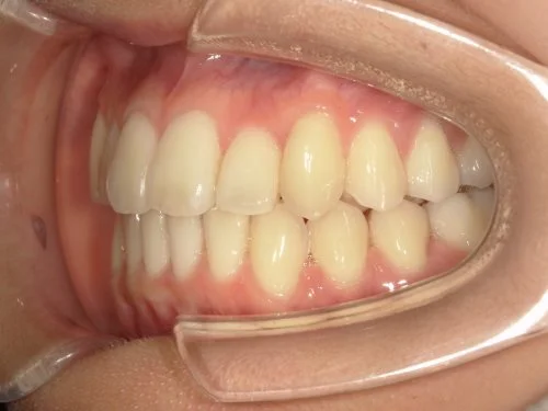
<症例1>上下の前歯がガタつき、出っ歯でお悩み

上下前歯のガタつきと、横顔を綺麗にしたいことを主訴にご来院なさいました。
前歯をどれだけ後ろに後退できるかは、その方の骨の状態や骨量によって変わってきます。当院では全ての方にCT撮影を行い、安全な範囲でできるだけお口元を後退できるように設計を行っております。
結果は、仕上がりも非常に綺麗に矯正できました。患者様にもご満足いただきました。
患者様と症状
主訴:ガタつき、出っ歯
性別・年齢:20代男性
問題点:上下前歯部の叢生
診断:前歯部の叢生を伴うアングルⅠ級の不正咬合
主なリスク:矯正中一時的に咬合しにくくなる、歯肉退縮
症状:叢生(そうせい) 上顎前突(じょうがくぜんとつ)
治療内容
治療期間:12ヶ月
治療費用:880,000円(税込)
プラン:フル1
抜歯:無し
再診治療費:無し
追加治療費:無し
保定装置費:無し
治療前後の写真






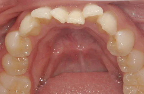
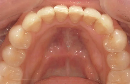
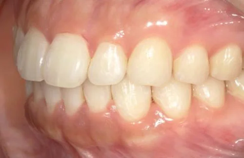
<症例2>歯が全体的にガタガタ、出っ歯でお悩み

歯列のアーチがやや狭く、それにより上下の前歯部にガタつきが生じている状態でした。
小臼歯部をわずかに広げてスペースを作ることで、お口元を整えつつガタつきを改善しています。
患者様と症状
主訴:全体的なガタガタ、出っ歯
性別・年齢:30代女性
問題点:上下前歯部の叢生(中程度)、ディープバイト
診断:前歯部の叢生を伴うアングルⅠ級の不正咬合
主なリスク:矯正中一時的に咬合しにくくなる、歯肉退縮
症状:叢生(そうせい) 過蓋咬合(かがいこうごう)
治療内容
治療期間:9ヶ月
治療費用:660,000円(税込)
プラン:26枚コース/モデレートプラン
抜歯:親知らずのみ抜歯
再診治療費:無し
追加治療費:無し
保定装置費:無し
治療前後の写真






<症例3>前歯のクロスバイトでお悩み

右上の前歯2本が反対に咬合している、いわゆるクロスバイトが主訴でご来院なさいました。
主訴以外の部分には大きな叢生はなく、また患者様も装着時間をしっかり守ってくださったので約6ヶ月で改善することができました。
患者様と症状
主訴:上の前歯が出ている
性別・年齢:20代女性
問題点:上顎左側側切歯のクロスバイト、叢生
診断:前歯部の叢生を伴うアングルⅠ級の不正咬合
主なリスク:矯正中一時的に咬合しにくくなる、歯肉退縮
症状:叢生(そうせい) 上顎前突(じょうがくぜんとつ)
治療内容
治療期間:6ヶ月
治療費用:495,000円(税込)
プラン:14枚コース/ライトプラン
抜歯:親知らずのみ抜歯
再診治療費:無し
追加治療費:無し
保定装置費:無し
治療前後の写真


・2本の前歯が前突しておりましたが、矯正で自然な歯並びになりました。


・前歯の1本が下の歯の裏側に噛み合うクロスバイトになっていましたが、矯正で改善されました。
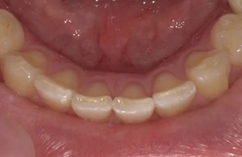
<症例4>下の前歯がガタガタでお悩み

下顎の前歯のガタつきを主訴にご来院なさいました。主訴に加え、上下前歯部のフレア(前方に広がるように角度が付いている)によりややオープンバイトの状態もあったので、同時に改善しています。これによりお口元が閉じやすくなりました。
治療内容
治療期間:6ヶ月
治療費用:495,000円(税込)
プラン:14枚コース/ライトプラン
抜歯:無し
再診治療費:無し
追加治療費:無し
保定装置費:無し
治療前後の写真




<症例5>上の前歯が飛び出しているお悩み

下の歯のガタガタと若干の前歯のズレの矯正でした。
アーチが綺麗に揃ったことにより見た目が改善されたほか、ステインや歯石も付きにくくなりました。
患者様と症状
主訴:下の歯がガタガタ
性別・年齢:20代女性
問題点:叢生、ディープバイト
診断:前歯部の叢生を伴うアングルⅠ級の不正咬合
主なリスク:矯正中一時的に咬合しにくくなる、歯肉退縮
症状:叢生(そうせい) 過蓋咬合(かがいこうごう)
治療内容
治療期間:3ヶ月
治療費用:330,000円(税込)
プラン:8枚コース/アーリープラン
抜歯:無し
再診治療費:無し
追加治療費:無し
保定装置費:無し
治療前後の写真


<症例6>下の前歯が上の前歯よりも前に出ている・しゃくれ・すきっ歯でお悩み

抜歯無し・マウスピースのみで矯正した症例です。
噛み合わせと歯の隙間を主訴としてご来院なさいました。
主訴を治すとともに、この方はやや下顎前突気味でしたのでそちらも改善しています。
ホワイトニングも同時に行っており、すっきりと透明感のある歯になりました。
患者様と症状
主訴:すきっ歯、噛み合わせが悪い
性別・年齢:20代女性
問題点:歯列空隙、切端咬合
診断:前歯部の叢生を伴うアングルⅠ級、骨格性Ⅰ級の不正咬合
症状:叢生(そうせい) 正中離開(せいちゅうりかい)
治療内容
治療期間:1年10ヶ月
治療費用:990,000円(税込)
プラン:Full2プラン
抜歯:無し
再診治療費:無し
追加治療費:無し
保定装置費:無し
治療前後の写真


<症例7>歯がガタガタで噛み合わせが悪くお悩み

抜歯無し・マウスピースのみで矯正した症例です。
もともと歯列弓が非常に狭く、V字に近い形をしていたので噛み合わせも非常に不安定でした。
また、下顎前歯部がかなり上の方に生えていたため、下の前歯が上の前歯を突き上げてしまい出っ歯の状態になっていました。
現在では見た目はもちろん、臼歯の噛み合わせも改善しております。
奥歯の患者様も大喜びでした。

患者様と症状
主訴:歯のガタガタ、噛み合わせが悪い
性別・年齢:20代女性
問題点:叢生(重度)、V字歯列弓、ディープバイト
診断:前歯部の叢生を伴うアングルⅠ級、骨格性Ⅰ級の不正咬合
主なリスク:臼歯の移動に伴い一時的に咬合しにくくなる、歯肉退縮
症状:叢生(そうせい) 過蓋咬合(かがいこうごう)
治療内容
治療期間:1年10ヶ月
治療費用:990,000円(税込)
プラン:Full2プラン
抜歯:無し
再診治療費:無し
追加治療費:無し
保定装置費:無し
治療前後の写真










