目次
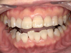
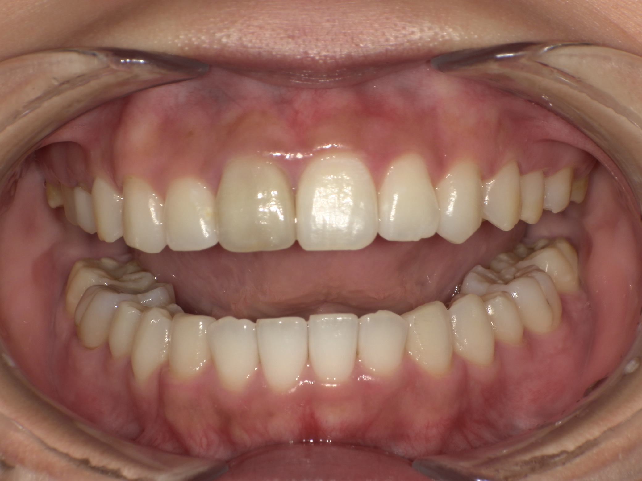
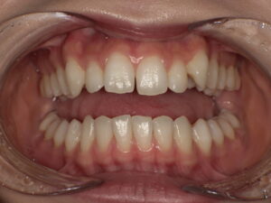
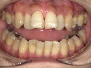
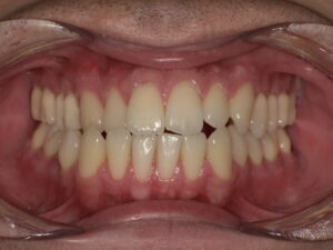
症例写真(ビフォーアフター)
症例概要
| 診断名 | 叢生・上顎前突 |
|---|---|
| プラン | 全顎矯正(フル) |
| 治療期間 | 11ヶ月 |
| 費用 | 66万円 ※価格は治療当時のものです。現在の料金とは異なる場合があります。 |
特記事項
追加回数に関して
なし
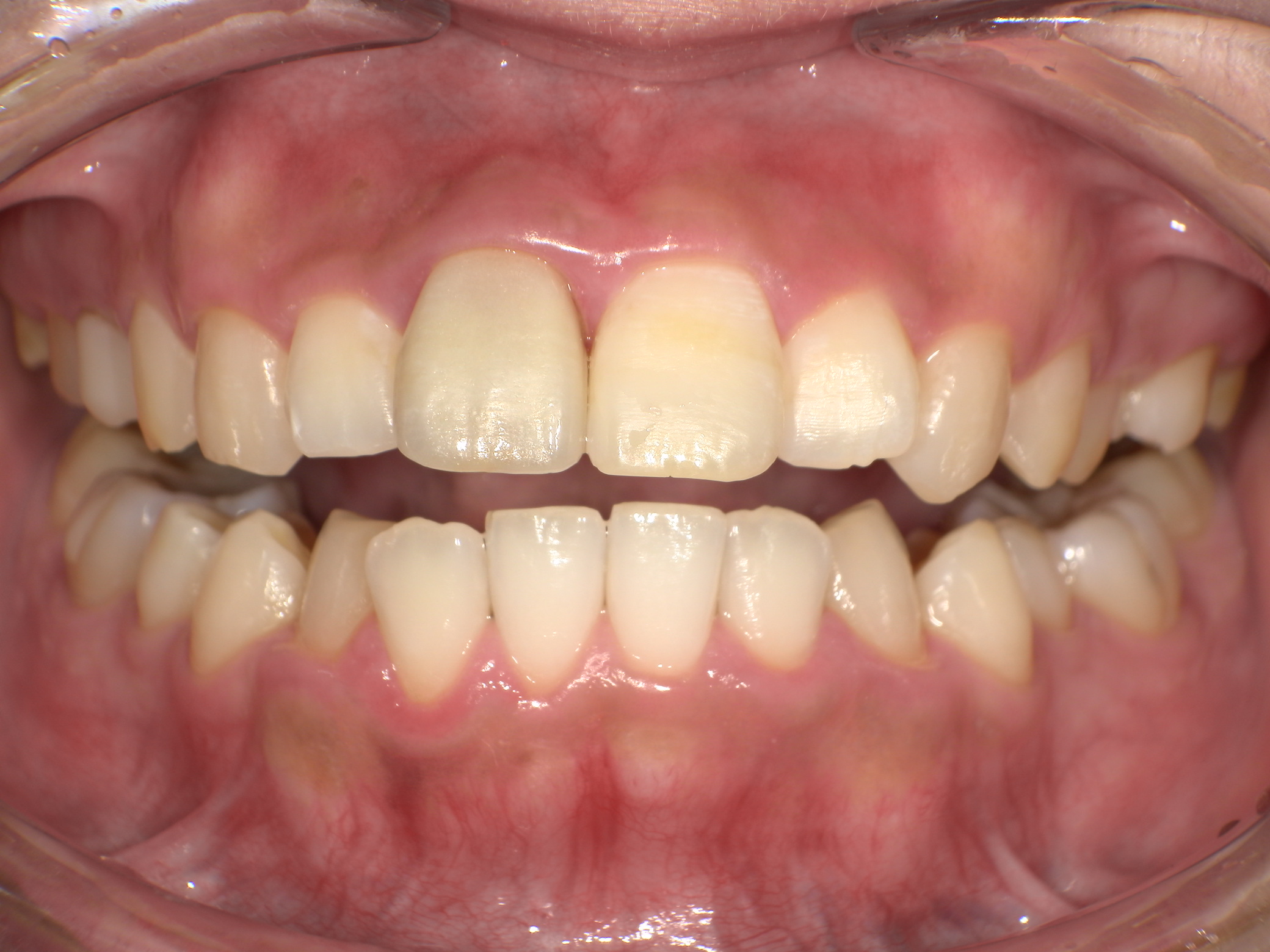
抜歯に関して
非抜歯(親知らずの抜歯あり)
IPRに関して
※IPRとは「歯を削り、隙間を作る処置」のことを指します。
実施
マウスピース矯正による主なリスク及び注意点
- リスク:虫歯、歯周病、歯肉退縮、歯根吸収、ブラックトライアングルなど。
- マウスピース装着時の圧痛の可能性・歯を動かす過程で一時的にかみ合わせがずれる可能性あり。
- 1日あたり20~22時間以上のマウスピースの装着が必須。
- 矯正完了後後戻り防止用リテーナーの装着が必須。
患者様の声
- 矯正治療が終了したご感想・当院で治療して良かった点
- 皆さん優しく丁寧でよかった。
- 矯正治療をして良かった点
- 歯がきれいと褒められて嬉しかった。
- 矯正治療中に大変だったこと
- マウスピースの取り外しが少し大変。
- スタッフの対応について
- とてもやさしくてよかった。
- これから矯正される患者様へのアドバイス
- 最初は変化が分からないが、続けていると変化が実感できてうれしくなるので頑張って続けてください。
